首页 > 问医生 > 五官科 > 口腔科 > 口腔溃疡

口腔溃疡牙龈红肿怎么办

1人回复
问题描述:
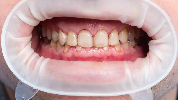
口腔溃疡牙龈红肿怎么办

医生回答专区 因不能面诊,医生的建议仅供参考

张笑

张笑 住院医师

复禾健康科普平台 全科
口腔溃疡牙龈红肿可以吃一些药。可以吃点消炎药,搭配上治口腔溃疡的药,比如阿莫西林,口腔溃疡散等。如果是口腔溃疡引起牙龈红肿,不必担心,一般十天左右口腔溃疡好了牙龈也就好了。在吃药的同时可以吃一些白萝卜,苦瓜,柚子等去火食物。可以冰敷一下牙龈肿痛处。用云南白药牙膏刷刷牙,淡盐水漱口都可以有效缓解一下。

相似问题

推荐 孩子牙龈红肿伴口腔溃疡怎么治疗

孩子牙龈红肿伴口腔溃疡可能与维生素缺乏、局部创伤、疱疹性口炎、手足口病等因素有关,可通过调整饮食、局部护理、抗病毒治疗、对症用药等方式缓解。 1、维生素缺乏 长期挑食导致维生素B族或维生...

相关科普 更多

如何治疗牙龈红肿

如何治疗牙龈红肿

牙龈红肿可通过保持口腔卫生、使用药物、物理治疗、中医调理、手术治疗等方式改善。牙龈红肿可能与牙菌斑堆积、牙周炎、维生素缺乏、激素变化、外伤等因素有关,通常表现为牙龈出血、疼痛、口臭等症状。1、保持口腔卫生每日使用巴氏刷牙法清洁牙齿,配合牙线清除牙缝残留物,饭后用生理盐水或漱口水含漱。避免吸烟、过量摄入甜食等刺激因素,每半年进行一次专业洁牙,有助于减少牙菌斑堆...

科普推荐 为你持续推送健康知识

急性蜂窝织炎性阑尾炎严重吗
急性蜂窝织炎性阑尾炎属于较严重的急腹症,需及时医疗干预。阑尾局部化脓性炎症可能引发穿孔或腹膜炎,若未规范治疗可危及生命。急性蜂窝织炎性阑尾炎的特征是阑尾壁全层中性粒细胞浸润伴蜂窝织炎改变,常伴有阑尾肿胀和管腔脓性渗出。典型表现为转移性右下腹痛、发热超过38摄氏度、麦氏点压痛及反跳痛,血液检查可见白细胞计数明显升高。疾病进展迅速,24小时内可能发展为坏疽性阑尾...
过敏性咳嗽的治疗方法有哪些
过敏性咳嗽的治疗方法主要有远离过敏原、服用抗组胺药物、使用糖皮质激素、进行免疫治疗、保持环境清洁等。过敏性咳嗽通常由过敏原刺激呼吸道黏膜引起,主要表现为阵发性干咳、咽痒等症状。1、远离过敏原过敏性咳嗽患者需明确并避免接触花粉、尘螨等过敏原。对花粉过敏者减少户外活动,对尘螨过敏者定期清洗床上用品并使用防螨罩。部分患者可能对动物皮毛敏感,需避免接触宠物。外出时佩...
肝癌能不能治愈
肝癌在早期阶段通过手术切除有治愈可能,但中晚期通常难以彻底治愈,治疗目标以延长生存期和提高生活质量为主。肝癌的治疗效果与疾病分期密切相关。局限于肝脏的微小病灶通过根治性手术切除后部分患者可获得长期无瘤生存。对于符合肝移植标准且无血管侵犯的早期肝癌患者,肝移植手术后五年生存率相对较高。消融治疗适用于直径较小的单发病灶,通过射频或微波等方式破坏肿瘤组织后部分病例...
舌头尖发麻是怎么回事
舌头尖发麻可能是由局部刺激、营养缺乏、神经损伤、脑血管疾病、糖尿病等因素引起,可通过去除刺激因素、补充营养、药物治疗、控制基础疾病等方式缓解。1、局部刺激辛辣食物、过热饮食或硬物摩擦可能导致舌黏膜短暂性麻木。这类情况通常伴随舌尖红肿或灼热感,避免继续接触刺激源后症状可自行消退。若因口腔溃疡引起,可使用复方氯己定含漱液消炎,或涂抹醋酸地塞米松口腔贴片促进愈合。...
为什么突然头晕想吐
突然头晕想吐可能由低血糖、耳石症、前庭神经元炎、贫血、颈椎病等原因引起。头晕想吐通常表现为身体不稳、视物旋转、恶心呕吐等症状,可通过调整体位、补充能量、药物治疗等方式缓解。一、低血糖低血糖可能由空腹时间过长、糖尿病用药过量等因素引起。患者会出现心慌、出汗、眼前发黑等症状。建议立即进食含糖食物如巧克力或饼干,严重时可使用葡萄糖口服液。日常需规律饮食,糖尿病患者...
长痔疮出血怎么办
长痔疮出血可通过保持肛周清洁、温水坐浴、药物治疗、调整饮食、及时就医等方式缓解。痔疮出血通常由便秘、腹泻、久坐久站、妊娠腹压增高、肛周感染等因素引起。1、保持肛周清洁排便后使用温水轻柔冲洗肛门,避免使用粗糙纸巾摩擦。可选择无酒精湿巾清洁,防止残留粪便刺激痔核。每日更换棉质内裤,减少细菌滋生。肛周潮湿易加重炎症,清洁后需用柔软毛巾蘸干水分。2、温水坐浴将臀部浸...
女性腹痛的原因是什么
女性腹痛可能由痛经、胃肠功能紊乱、盆腔炎、卵巢囊肿蒂扭转、异位妊娠破裂等原因引起。腹痛可能与饮食习惯、精神压力、生殖系统感染、脏器结构异常、妊娠并发症等因素有关,通常表现为下腹坠痛、胀痛、绞痛、放射性疼痛、阴道流血等症状。一、痛经原发性痛经可能与前列腺素分泌过多有关,表现为经期下腹痉挛性疼痛。继发性痛经常见于子宫内膜异位症,疼痛呈进行性加重。建议热敷缓解症状...
喉阻塞有什么危害
喉阻塞可能导致窒息、脑损伤甚至死亡,若不及时干预可引发急性呼吸衰竭、心脏骤停等严重并发症。喉阻塞的危害主要有窒息风险、脑缺氧损伤、心肺功能衰竭、继发感染、长期后遗症。一、窒息风险喉阻塞直接阻碍气流进入肺部,短时间内造成血氧饱和度急剧下降。若完全阻塞超过5分钟可能导致不可逆脑损伤,常见于异物卡喉、急性会厌炎或喉部肿瘤压迫。需立即采用海姆立克急救法或环甲膜穿刺等...
躺下来头晕是什么原因
躺下来头晕可能与体位性低血压、前庭功能障碍、贫血、耳石症、颈椎病等原因有关。躺下时头晕通常表现为视物旋转、恶心呕吐、站立不稳等症状,建议及时就医明确病因。1、体位性低血压躺下后突然起身时出现头晕,与血压调节功能异常有关。自主神经功能紊乱或脱水可能导致血压骤降,伴随眼前发黑、乏力等症状。日常需避免快速变换体位,起身时动作放缓,必要时遵医嘱使用屈昔多巴胶囊、盐酸...
食道炎咽喉部堵着怎么回事
食道炎咽喉部堵着可能由胃酸反流、食管黏膜损伤、食管动力障碍、食管裂孔疝、咽喉炎等原因引起,可通过抑酸治疗、黏膜修复、促动力药物、手术修补、抗感染等方式治疗。一、胃酸反流胃酸反流至食管和咽喉部会刺激黏膜,导致灼烧感和堵塞感。长期反流可能引起反流性咽喉炎。建议避免高脂饮食和睡前进食,可遵医嘱使用奥美拉唑肠溶胶囊抑制胃酸,铝碳酸镁咀嚼片中和胃酸,多潘立酮片促进胃排...
老年人出现幻视幻听幻觉怎么回事
老年人出现幻视幻听幻觉可能与多种因素有关,包括生理退化、疾病影响、药物副作用或心理问题。及时就医检查,明确病因是关键。1.生理退化:随着年龄增长,老年人的大脑功能逐渐衰退,尤其是认知功能和感知能力下降,可能导致幻觉出现。这种情况下,家人应多关注老人的日常行为,提供情感支持,必要时咨询医生。2.疾病影响:某些疾病如阿尔茨海默病、帕金森病、脑卒中或眼部疾病等,可...
老是为了一点小事就焦虑心烦
老是为了一点小事就焦虑心烦,可以通过心理调节和生活方式改善来缓解。焦虑心烦的常见原因包括压力过大、情绪管理能力不足、睡眠质量差等。日常生活中的小事情可能成为触发点,导致情绪波动。1.压力管理:长期的压力积累会让人对小事产生过度反应。可以通过时间管理、任务分解等方式减轻压力,每天安排一定的时间进行放松活动,如冥想、深呼吸或瑜伽,帮助缓解紧张情绪。2.情绪调节:...
对父母没有感情是心理缺陷吗
对父母没有感情并不一定是心理缺陷,可能由多种因素导致,包括情感疏离、童年经历或心理状态等。改善这种情况可以通过情感沟通、心理咨询或家庭治疗等方式实现。1.情感疏离可能源于长期缺乏情感交流。如果父母在成长过程中较少表达关爱或关注,子女可能难以建立深厚的情感联系。这种情况下,主动与父母沟通,尝试理解他们的情感需求,逐步建立情感纽带是有效的解决方法。2.童年经历对...
孕前检查前需要空腹吗
孕前检查通常需要空腹,部分检查项目如血糖、肝功能等需空腹8-12小时。具体需根据检查项目决定,建议提前咨询医生。孕前检查中涉及血液生化检测的项目通常需要空腹,如空腹血糖、肝功能、血脂等指标。空腹状态指检查前8-12小时不摄入任何食物和含糖饮料,仅可少量饮水。这类检查结果易受饮食影响,进食可能导致血糖升高或血脂波动,干扰真实数据。空腹要求有助于获取准确的基线数...
老人精神分裂症是什么原因
老人精神分裂症可能由遗传因素、脑结构异常、神经递质失衡、心理社会应激、躯体疾病等因素引起。1、遗传因素:家族中有精神分裂症病史的老人患病风险显著增高。特定基因变异可能导致多巴胺等神经递质代谢异常,这种生物易感性在衰老过程中与脑功能退化叠加,会加速疾病发生。治疗需结合基因检测制定个性化方案,常用药物包括利培酮、奥氮平等第二代抗精神病药。2、脑结构异常:老年人脑...
躁郁症治疗疗程有哪些方法
躁郁症的治疗方法包括药物治疗、心理治疗和生活方式调整,具体疗程需根据患者病情严重程度和个体差异制定。药物治疗常用心境稳定剂、抗精神病药和抗抑郁药,心理治疗如认知行为疗法和家庭治疗,生活方式调整则涉及规律作息和适度运动。1.药物治疗是躁郁症的核心治疗手段,常用药物包括心境稳定剂(如锂盐、丙戊酸钠)、抗精神病药(如奥氮平、喹硫平)和抗抑郁药(如氟西汀、舍曲林)。...
得了尖锐物体恐惧症会有哪些症状
尖锐物体恐惧症的核心症状包括对尖锐物体的强烈恐惧、回避行为及生理不适反应,可能伴随焦虑发作。遗传因素、创伤经历、神经生物学异常是主要诱因,认知行为疗法和药物干预可有效缓解症状。1.尖锐物体恐惧症的典型症状表现为对针、刀、玻璃碎片等物品的过度恐惧。患者看到或想到这些物体会出现心跳加速、出汗、颤抖等自主神经反应,严重时引发惊恐发作。部分患者会出现预期性焦虑,即未...
社交焦虑产生的原因是什么
社交焦虑的产生原因复杂,涉及遗传、环境、生理、心理等多方面因素,需通过综合干预改善。治疗包括心理咨询、药物治疗、生活方式调整等。1、遗传因素。家族中有社交焦虑病史的人更容易患病,可能与基因遗传有关。研究表明,某些基因变异会增加社交焦虑的风险。这种情况下,了解家族病史对早期预防有意义。2、环境因素。成长环境对社交焦虑的形成有重要影响。长期处于高压、批评或缺乏支...
人流要做哪些检查项目
人流手术前通常需要完成血常规、凝血功能、传染病筛查、妇科超声、心电图等检查项目。这些检查有助于评估手术风险,排除禁忌证,确保手术安全。血常规检查可判断是否存在贫血或感染,血红蛋白低于一定数值可能需先纠正贫血。凝血功能异常者术中出血风险增加,需提前干预。传染病筛查包括乙肝、丙肝、梅毒、艾滋病等,阳性结果需采取特殊防护措施。妇科超声能明确妊娠位置、孕囊大小及子宫...
中医治疗双向情感障碍有用吗
中医治疗双向情感障碍有一定辅助作用,但需结合西医治疗才能达到最佳效果。双向情感障碍是一种精神疾病,中医通过调理气血、疏肝解郁、安神定志等方法,可以缓解症状,改善情绪波动。1.中医理论认为双向情感障碍与肝气郁结、心脾两虚、肾阴不足有关。肝气郁结导致情绪波动大,心脾两虚引发失眠、食欲不振,肾阴不足则表现为情绪低落、精力不足。中医通过辨证施治,针对不同证型采用相应...

科室问题

二级
二级
二级
二级

医生推荐

医院推荐

×

特约医生在线咨询